Chevron Osteotomy
무지외반증 교정술
무지외반증 교정술은 무지외반증으로 인한 발의 변형 및 통증이 약이나 보조기 등의 보존적 치료에도 호전되지 않는 경우, 발가락 뼈의 절골을 통해 발 변형을 교정하고 통증을 완화 시켜 줄 수 있는 치료법입니다.
-
치료대상(적응증)
- 무지외반증

온라인 예약 문의를 남겨주세요. 최대한 빨리 답변드리도록 하겠습니다.
무지외반증 교정술은 무지외반증으로 인한 발의 변형 및 통증이 약이나 보조기 등의 보존적 치료에도 호전되지 않는 경우, 발가락 뼈의 절골을 통해 발 변형을 교정하고 통증을 완화 시켜 줄 수 있는 치료법입니다.

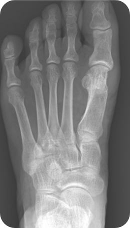
변형된 뼈 절골술을 시행한 후, 수술기구를 이용하여 고정합니다. X-ray 사진에 보이지 않는 흡습성 고정기구를 사용하기도 합니다.

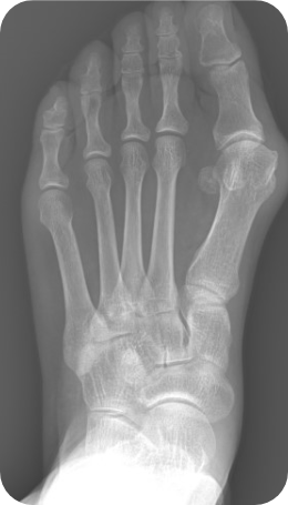
▲ 무지외반증 교정술 전

▲ 무지외반증 교정술 후
수술 후 일정시간 동안 침상안정 및 약 4~6주 일정기간동안은 특수신발을 착용하며 수술 부위로 체중부하가 되지 않도록 주의해야합니다.

환자 안전을 최우선으로 지향하여 항상 최적의 의료기술을
제공하는 것이 의료진의 기본 소명으로 생각하는 관절센터 진료팀을 소개합니다.