Autologous Chondrocyte Implantation
자가연골 배양 이식술
재생이 잘 되지 않는 관절연골 결손부위에 연골을 직접 이식하는 방법으로 자신의 연골세포를 채취하여 체외에서 증식하여 연골을 만들고 이를 다시 이식해주는 방식입니다.
-
치료대상(적응증)
- 무릎관절의 연골 손상을 입은 경우

온라인 예약 문의를 남겨주세요. 최대한 빨리 답변드리도록 하겠습니다.
재생이 잘 되지 않는 관절연골 결손부위에 연골을 직접 이식하는 방법으로 자신의 연골세포를 채취하여 체외에서 증식하여 연골을 만들고 이를 다시 이식해주는 방식입니다.

완성된 관절연골(초자연골)을 직접 이식해주는 방식으로 연골생성의 가장 확실한 방법 중 하나입니다. 배양 및 연골재생을 위한 기간이 필요하며, 2번의 수술을 해야 한다는 점이 단점입니다.
2번의 수술이 필요하며, 관절내시경을 이용하여 무릎 안을 보면서 일부 연골세포를 채취합니다. 이를 무균처리된 병에 담아 연골생성유도가 가능한 곳에서 증식 및 연골을 생성합니다. 그런 후 생성된 연골을 다시 연골 결손부에 이식해줍니다.

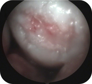
▲ 자가연골 배양 이식술 전

▲ 자가연골 배양 이식술 후
병변의 크기 및 위치에 따라 재활에 조금 차이가 있으며, 두 번째 이식 수술 후 최대 2~3개월의 부목, 목발 등을 요할 수도 있습니다. 안정기간 후 바로 일상생활의 복귀 및 재활치료가 가능합니다.


환자 안전을 최우선으로 지향하여 항상 최적의 의료기술을
제공하는 것이 의료진의 기본 소명으로 생각하는 관절센터 진료팀을 소개합니다.