PEN
신경성형술
신경성형술은 특수한 카테터를 이용하여 척추 신경 주위에 발생한 염증, 신경유착, 부종을 기계적, 화학적으로 제거하는 시술로, 증상이 발생한 디스크나 염증이 발생한 부위에 주사 약물을 보내 염증을 줄이는 시술입니다.
-
치료대상(적응증)
- 목, 허리 디스크
- 척추관협착증
- 만성요통
- 척추측만증, 척추분리증
-
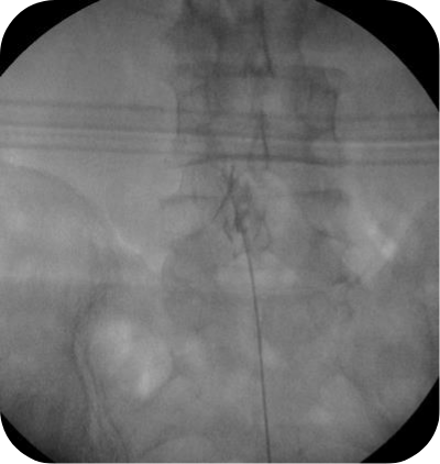
치료방법
척추 꼬리뼈 부위에 국소마취를 한 후 C-Arm 을 통한 X-ray 투시장치로 병변을 직접 보면서 특수 카테터를 삽입하여 척추의 손상이 있는 부위에, 카테터를 통해 약물(고농도 식염수, 유착 방지제 등)을 주입하여 척추 신경 주위에 염증 부종을 제거합니다.
