닫기

온라인 예약

온라인 예약 문의를 남겨주세요. 최대한 빨리 답변드리도록 하겠습니다.

Total joint replacement

인공관절치환술

퇴행성관절염, 류마티스관절염, 감염이나 외상 등 여러 이유로 관절이 파괴되어 통증과 운동제한이 온 경우 손상된 본래 관절면을 제거하고 인공으로 만든 관절을 끼워 넣어 해당관절이 통증없이 부드럽게 움직이게 하는 수술입니다.

  • Total hip replacement

    고관절

  • Total knee replacement

    무릎

  • Total shoulder replacement

    어깨

센터
장점

Total hip replacement고관절

고관절은, 공처럼 생긴 대퇴골두(femoral head)와 이를 감싸고 있는 소켓 모양의 골반골의 비구(acetabulum)로이루어져 있습니다. 고관절은 주로 체중 부하와 체중 전달의 기능을 하는 볼-소케트형의 활막 관절입니다.

  • 고관절 인공관절치환술은

    보존적 치료로 증상이 완화되지 않고, 심한 통증과 관절의 장애가 있는 경우 시행합니다. 또한 대퇴골두의 함몰이 심하거나 이미 관절면이 퇴행성 변화를 일으킨 경우에도 고관절 인공관절치환술을 통해 치료하고 있습니다.

    대퇴골두 무혈성괴사(골 괴사증)
    고관절 퇴행성 관절염
    강직성 고관절
  • 수술방법

    고관절 중 양쪽, 즉 대퇴골두와 비구를 인공관절로 교체하는 수술입니다.

  • 수술 후 관리법

    수술 후, 1주일 내외로 보행이 가능합니다. 쪼그려 앉거나 다리를 꼬는 자세, 다리를 안으로 돌리는 자세 등은 피하는 것이 좋으며, 수술 경과 2주 정도 후에는 보조기구 없이 걷는 것이 가능합니다.

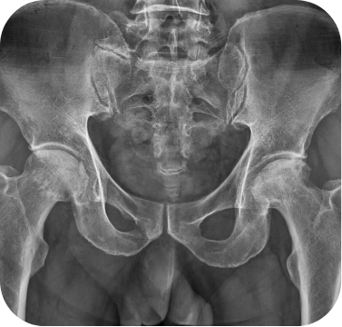
고관절 무혈성괴사 환자의 인공관절 전치환술 사례
  • ▲ 수술 전
  • ▲ 수술 후
고관절 퇴행성관절염 환자의 인공관절 전치환술 사례
  • ▲ 수술 전
  • ▲ 수술 후

Total knee replacement무릎

무릎관절은 슬관절(膝關節)이라고도 합니다. 다리를 무릎에서 뒤쪽으로 굽히게 하며, 관절낭(關節囊)은 대퇴골 하단의 가장자리에서 시작되어 경골 상단의 가장자리에 붙어 있습니다. 그 밖에 내측 및 외측의 측부인대(側副靭帶), 관절강 안에 있는 십자인대를 비롯하여 많은 튼튼한 인대에 의하여 뼈의 결합이 강화됨과 동시에 운동방향과 범위가 제한되어 있습니다.

  • 무릎 인공관절치환술은

    진행된 퇴행성 관절염 환자에 적용되는 무릎관절 질환의 마지막 수술방법, 대퇴 원위부, 경골 근위부의 연골판, 십자인대, 관절연골 및 뼈부분을 제거하고 인공관절을 끼워 넣는 방법입니다. 필요에 따라 뚜껑뼈 부분에도 같이 시행되기도 합니다.

    무릎 퇴행성관절염 심한 경우
    류마티스 관절염
    골괴사증
  • 수술방법

    1) 무릎인공관절 부분치환술

    무릎의 전내측(앞안쪽) 7~8cm의 절개를 넣고 안쪽만 노출시킨 상태에서 십자인대의 손상없이 대퇴골 원위내과 및 경골 근위내과, 내측 반월상 연골판을 절제한 후 안쪽만 인공관절기구로 바꾸어 끼워 줍니다.

    수술 장점
    심한 관절염 환자에서 자신의 무릎을 살리면서 할 수 있는 수술적 치료 방법. 나이가 젊어서 아직 전체 인공관절을 고려하기 어려운 환자에서 적용할 수 있는 방법입니다.
    수술 후 관리법
    수술 후 다음날부터 어느 정도의 무릎 관절운동이 가능합니다. 인공관절 전치환술 보다 회복이 빠르기는 하지만, 일반적으로 1~2주간은 입원치료 및 안정치료 및 안정가료를 요합니다. 입원기간 중 기계를 이용한 무릎관절각도 회복 운동 및 사두근 강화운동을 권하며, 퇴원 후에도 자가 관절 각도 회복 운동 및 사두근 강화운동을 요합니다.

▲ 무릎인공관절 부분치환술 후

  • 2) 무릎인공관절 전치환술

    무릎의 앞쪽에 10~12cm의 절개를 넣고 무릎 관절 전체를 노출시킨 상태에서 대퇴원위부 및 경골 고평부에 각 뼈의 축에 맞추어 손상된 관절부분을 절제한 후 정해진 기구를 삽입하여 움직임 및 체중부하, 정렬 등에 이상이 없게 만듭니다.

    수술 장점
    최종 수술방법으로서, 마모된 관절을 정상 무릎관절과 같은 형태의 정렬로 만들기 때문에 회복 후 운동 등이 가능해집니다.
    수술 후 관리법
    수술 후 다음날부터 어느 정도의 보행과 무릎 관절운동이 가능합니다. 통증 및 회복 정도에 따라 일반적으로 2주간은 입원치료 및 안정가료를 요합니다. 입원기간 중 기계를 이용한 무릎관절각도 회복 운동 및 사두근 강화운동을 권하며, 퇴원 후에도 자가 관절각도 회복 운동 및 사두근 강화운동을 요합니다.
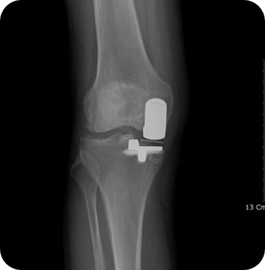
무릎인공관절 전치환술 사례1
  • ▲ 수술 전
  • ▲ 수술 후
무릎인공관절 전치환술 사례2
  • ▲ 수술 전
  • ▲ 수술 후

Total shoulder replacement어깨

어깨뼈와 위팔뼈, 빗장뼈로 이루어진 것으로, 견관절이라고도 합니다. 어깨 관절에서 위팔뼈의 윗 부분인 골두 부분은 연골로 덮여 있고, 어깨 관절을 이루는 어깨뼈와 위팔뼈의 골두 부분의 접촉면이 좁기 때문에 관절이 움직일 수 있는 범위가 사람 몸 속 관절 중 가장 넓습니다. 또 어깨 관절이 빠지지 않도록 관절 주위는 연부조직으로 둘러싸여 있고, 여러 인대들이 서로 연결되어 있으며 근육과 힘줄이 있습니다.

  • 어깨 인공관절치환술은

    어깨 관절염이 심하여 연골이 거의 닳아 없어진 경우 어깨 인공관절치환술을 시행하여 어깨관절의 기능을 살려줍니다. 대부분 어깨관절염은 다른 관절염과는 조금 다르게 퇴행성의 빈도가 높지 않고, 처음에 어깨에서 발생했던 질환이 악화되거나, 질환 말기에 관절이 강직되면서 어깨관절염이 생깁니다. 때문에 어깨관절염이 진행되기 전, 적절한 치료를 받는 것이 중요합니다.

    어깨 퇴행성관절염 심한 경우
    회전근개가 광범위 파열되어 봉합술이 불가능한 경우
    견관절 혹은 상완골 분쇄 골절
  • 수술방법

    상완골두만을 갈아끼우는 반치환성형술을 할 수도 있고, 견갑관절과 인공삽입물이 함께 삽입되는 전치환성형술을 하기도 합니다. 최근에는 역 전치환술이 개발되어 기존 인공관절의 단점을 보완하게 되었습니다.

  • 치료장점

    어깨인공관절치환술은 통증 및 운동범위에 대한 회복력이 월등히 좋으며 빠른 회복이 가능하다는 장점이 있습니다.

  • 수술 후 관리법

    수술이 끝난 뒤에는 보통 1주일 전 후로 재활 및 운동치료를 시작합니다. 수술 뒤 4주 정도면 보조기를 제거하게 되며, 6주 이상 지난 뒤에는 가벼운 일상생활을 할 수 있습니다. 3개월 뒤에는 일상생활이 충분히 가능합니다.

  • ▲ 어깨인공관절 인공치환술 전
  • ▲ 어깨인공관절 인공치환술 후

관절센터 의료진 소개

환자 안전을 최우선으로 지향하여 항상 최적의 의료기술을
제공하는 것이 의료진의 기본 소명으로 생각하는 관절센터 진료팀을 소개합니다.

정형외과 전문의

김종원 원장

서울대학교병원 인공관절 전임의
중앙대학교병원 정형외과 전공의
중앙대학교 의과대학원 정형외과학 석사 및 박사
현) 좋은아침병원 관절센터 대표원장
전) 강남힘찬병원 정형외과 부원장
전) 한전의료재단 한일병원 정형외과 과장
자세히보기

정형외과 전문의

조승목 원장

경희의료원 정형외과 스포츠센터 전임의
중앙대학교 의과대학 졸업
현) 좋은아침병원 관절센터 원장
전) 인천하이병원 정형외과 과장
전) 수원우리병원 정형외과 과장
자세히보기

정형외과 전문의

고영봉 원장

중앙대학교 의과대학 대학원 석사
중앙대학교 전공의
중앙대학교 의과대학 졸업
현) 좋은아침병원 관절센터 원장
베트남 꽝남 중앙종합병원 무릎 관절경 수술 자문
건국대학교병원 임상강사
자세히보기

정형외과 전문의

김민규 원장

중앙대학교병원 인턴 수료
중앙대학교병원 정형외과 전문의 과정수료
중앙대학교 의과대학 졸업
전 마디병원 어깨 관절경 센터 과장
전 강남더드림병원 원장
현 좋은아침병원 관절센터 원장
자세히보기

정형외과 전문의

장의찬 원장

중앙대학교 의과 대학 졸업
중앙대학교 의과대학 정형외과학 석사 및 박사
중앙대학교 의과대학 정형외과 주임교수
현) 좋은아침병원 관절센터 원장
전) 동병원에서 일반 정형외과 및 족부 정형외과 진료
전) 중앙대학교 부속 용산병원 및 흑석동 병원 과장
자세히보기

정형외과 전문의

이종석 원장

연세대학교 신촌세브란스병원 발·발목관절 전임의
중앙대학교 병원 정형외과 전공의
중앙대학교 의과대학원 정형외과학 석사 및 박사
현) 좋은아침병원 관절센터 원장
현) 의학채널 비온뒤 정형외과 발·발목관절 분야 멘토
전) 미사성민정형외과 대표원장
자세히보기

좋은아침병원은 복지부에서 인정받은 진정한 관절전문병원입니다.
듣던대로 좋은아침병원, 항상 여러분 곁을 든든하게 지키겠습니다.