High tibial
osteotomy
근위경골 교정 절골술(휜다리교정술)
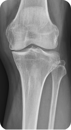
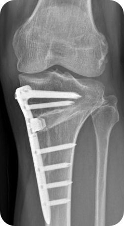
무릎 내측 관절면의 관절염이 심한 경우 관절 간격이 좁아지게 되면서 다리가 O 자형으로 변하게 됩니다. 이런 상태를 방치하게 되면 무릎 내측에 실리는 체중 부하가 늘어나면서 관절 간격이 더 좁아지게 되는 악순환이 이어지게 되는데, 이런 경우 다리의 모양을 1자형 혹은 X자형으로 만들어 무릎 관절 내측에 실리는 체중 부하를 줄이고, 관절염의 진행을 막을 수 있는 수술 방법이 근위경골 교정 절골술 입니다.
-
치료대상(적응증)
- 65세 이하 무릎 내측에 국한된 관절염
- O 다리, X 다리 등 휜 다리인 경우
- 무혈성 괴사나 박리성 연골 파열이 치료에도 호전되지 않는 경우
- 내측 반월판의 후방 부착부 파열이 보존적 치료에도 호전되지 않고 동통이 있는 경우







