PELD
척추내시경
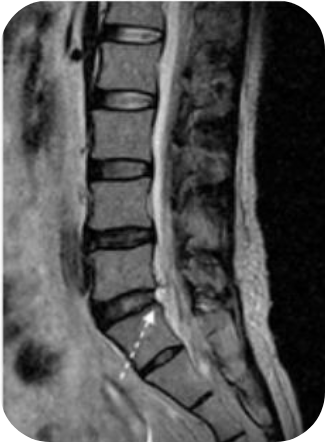
이 수술법이 처음 나온 지는 20년이 넘었습니다만 최근 들어 기기와 기술의 발전으로 각광을 받게 되었습니다. 피부에 약 7 mm 크기의 내시경을 넣어 수술을 하는 것으로 수술 후 회복이 매우 빠르다는 장점이 있습니다. 과거에는 터져 나온 디스크를 처리하지 못하는 한계를 보였으나 이제는 많이 발전하여 디스크의 여러 유형을 처리할 수 있어 수술의 성공률이나 환자의 만족도도 많이 높아졌습니다.
-
치료대상(적응증)
- 추간판탈출증






