Vertebroplasty
척추체 성형술
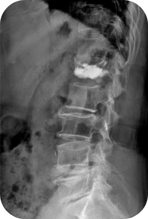
척추체 성형술은 골다공증으로 인한 압박골절 때 쓰는 수술법입니다. 골다공증으로 인한 요추 혹은 흉추 골절이 발생하면 참기 힘든 고통이 따릅니다. 너무 아픈 나머지 일어나거나 앉기도 버거운 지경에 이릅니다. 대개 연세가 많은 분들, 특히 여자분들에게 많이 나타납니다. 척추뼈가 심하게 주저 앉은 경우에 척추뼈를 원래 모양으로 회복시킨 후 고정하기 위해 시행하는 수술 방법입니다.
골절은 뼈가 부러진 부위가 움직이면서 통증자극을 유발하게 되는 것인데 이렇게 시멘트를 넣어 단단하게 뼈를 굳히게 되면 통증이 적어집니다. 연세가 극도로 많은 어른분들은 거동이 안되는 상태에서 며칠간 누워 있을 경우 돌이킬 수 없는 합병증이 발생할 수도 있으므로 가급적 빠른 조치가 필요합니다.
-
치료대상(적응증)
- 척추골절(골다공증/외상/악성종양/혈관종 등)

